Врачи ККБ №2 случайно обнаружили гигантскую грыжу у жительницы Краснодара

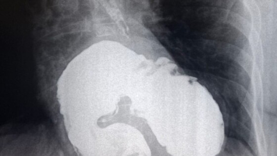
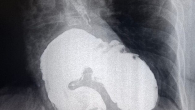
В ККБ №2 при проведении стандартного обследования, рентгеноскопии пищевода, желудка и двенадцатиперстной кишки, у пациентки была выявлена редкая патология.

Врачи ККБ №2 случайно обнаружили гигантскую грыжу у жительницы Краснодара
© Кубань-Информ

У женщины, которая наблюдалась у кардиолога с жалобами на одышку и боли в сердце, обнаружили гигантскую грыжу пищеводного отверстия диафрагмы.

Данные состояния могут развиваться бессимптомно или маскироваться под другие заболевания.

После диагностики пациентка была направлена на консультацию к хирургам и сейчас проходит лечение в стационаре. Этот случай подчеркивает необходимость регулярных обследований, даже при отсутствии явных симптомов, напомнили медики.

Ранее «Кубань Информ» писал, что краснодарские врачи впервые в ЮФО прооперировали кисть пациента с болезнью Кинбека. Хирургическое вмешательство осуществляют без больших разрезов и с более быстрым восстановлением.