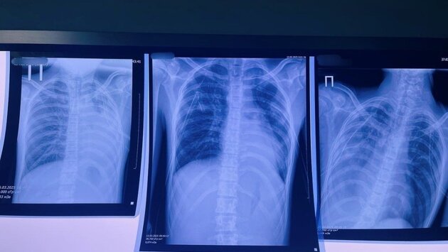
Врачи борются за жизнь 16-летнего кировского подростка, курившего вейп

В результате вредной привычки, у молодого человека образовались «пузыри» в легких, которые лопнули.

Врачи борются за жизнь 16-летнего кировского подростка, курившего вейп
© Первоисточник

В Кирове 16-летний подросток несколько лет курил вейп. В результате в его легких образовались буллы (пузыри) в легких, которые внезапно разорвались, вызвав двусторонний пневмоторакс. Это потребовало экстренного вмешательства и перевода пациента в Федеральную клинику, где за жизнь ребенка продолжают бороться. Это не единичный случай.

Среди заболеваний появилось новое название «EVALI» – тяжелое поражение легких из-за токсичных веществ в жидкостях для вейпа, оно приводит буллезной болезни – образованию «пузырей» в легких, которые могут разорваться в любой момент. Особую опасность представляет ацетат витамина Е, при нагревании он превращается в клейкую массу, оседающую в легких. Случай в нашей клинике, произошедший с 16-летним подростком, – это тревожный сигнал. Когда мода оборачивается больничной койкой, стоит задуматься: нужно ли это «безопасное развлечение»? – задается вопросом заведующий хирургическим отделением детской областной больницы Виталий Лапшин.

В Кирове за последнее время сразу несколько детей, курящих вейпы, были госпитализированы в медучреждение.