Нейрохирурги Ставрополя провели уникальную операцию пациентке с изгибом позвоночника в 40 градусов

В Ставропольской краевой клинической больнице врачи успешно провели сложную операцию по исправлению сколиоза у четырнадцатилетней девочки. Хирурги смогли устранить искривление позвоночника и остановить развитие болезни. 

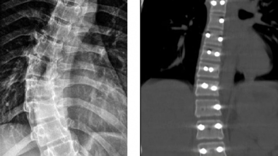
Нейрохирурги Ставрополя провели уникальную операцию пациентке с изгибом позвоночника в 40 градусов
© runews24.ru

В отделении нейрохирургии №2 краевой больницы на регулярной основе проводятся современные хирургические вмешательства по коррекции деформаций позвоночника. Ранее подобные операции были доступны преимущественно в федеральных медицинских центрах. Об этом рассказали в пресс-службе учреждения.

На этот раз медицинская помощь потребовалась 14-летней пациентке, страдающей идиопатическим сколиозом. У нее было диагностировано искривление позвоночника под углом в 40 градусов. Такая деформация со временем могла негативно сказаться на функционировании сердца и легких. Медики приняли решение о проведении операции с целью остановить прогрессирование заболевания и вернуть позвоночнику правильное положение.

В ходе оперативного вмешательства девочке была установлена прочная металлическая конструкция, обеспечивающая фиксацию позвоночника в выпрямленном положении. После операции пациентка быстро восстановилась и была выписана из больницы.

Реабилитационный период включает в себя регулярные медицинские осмотры и соблюдение врачебных рекомендаций, что позволит ей в кратчайшие сроки вернуться к привычному образу жизни. Ранее сообщалось, что хирурги Ставрополя извлекли из кишечника трехлетнего мальчика 18 магнитов.