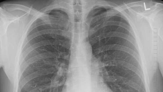
В Волгограде благодаря пробе Манту у 13-летнего подростка выявили кисту легкого

По имеющимся данным, в одной из школ Волгоградской области проводили проверку учеников, собирая пробы Манту. 13-летнего подростка отправили на консультацию к фтизиатру. Последующий рентген и КТ-исследование выявили у него кисту легкого.

В Волгограде благодаря пробе Манту у 13-летнего подростка выявили кисту легкого
© runews24.ru

Мальчику провели экстренную операцию, в которой участвовали заведующий кафедрой детской хирургии ВолгГМУ Дмитрий Андреев и детский хирург клинической больницы скорой медпомощи №7 Октай Дамиров. Операция длилась 1,5 часа, кисту удалось удалить. В данный момент здоровью и жизни мальчика ничего не угрожает.