В Башкирии хирурги удалили опухоль мозга двухмесячному ребенку

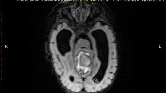
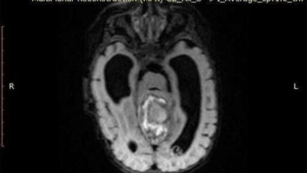
В детской республиканской больнице Башкирии хирурги удалили злокачественную опухоль мозга двухмесячному младенцу. Об этом сообщает пресс-служба Минздрава республики. Ребенок был доставлен в республиканскую больницу Уфы бортом санавиации, состояние младенца стремительно ухудшалось, у маленького пациента наблюдалась частая рвота, голова ребенка увеличилась в размерах. В ходе обследования медики обнаружили у младенца опухоль головного мозга, новообразование удалось успешно удалить. Гистологический анализ показал, что опухоль была злокачественной, было принято решение продолжить лечение ребенка в федеральном центре, пациента перевели в Москву, где ему оказывается вся необходимая медицинская помощь.

В Башкирии хирурги удалили опухоль мозга двухмесячному ребенку
© Газета.Ru