В Челябинске младенец попал в больницу с металлическим крюком в желудке

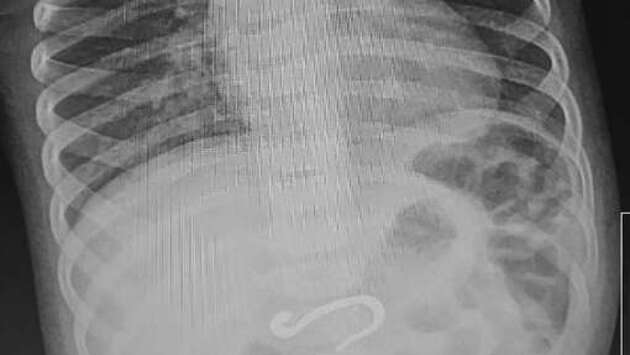
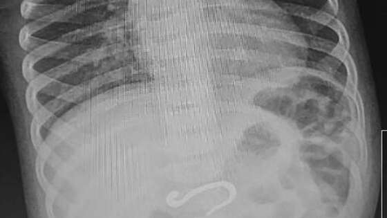
В Челябинске врачи достали из младенца металлический крюк. О необычном клиническом случае рассказали в Челябинской областной детской клинической больнице. Восьмимесячный мальчик поступил на днях в экстренный приемный покой ЧОДКБ с подозрением на проглоченный колпачок от ручки. Однако рентген показал, что в его желудке находится металлический крюк внушительных размеров, который уже частично погрузился в двенадцатиперстную кишку. Сначала врачи решили переместить инородное тело из кишки в более просторное место желудка, а затем подцепить и аккуратно извлечь наружу. Операция длилась час и прошла успешно. Выяснилось, что извлеченный крюк не вызвал внутренних повреждений и маленький пациент отправился домой.

В Челябинске младенец попал в больницу с металлическим крюком в желудке
© Газета.Ru